
Untersuchungsmethoden

Magnetresonanztomographie
Hier finden Sie wichtige Hinweise zu dieser Untersuchungsmethode (Kernspintomographie, MRT).

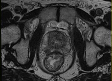
MRT Prostata
Hier finden Sie wichtige Hinweise zu dieser Untersuchungsmethode (mp-MRT, MRT-Prostatographie).